Skip navigatie
Intro mezzo
Rotary Breda benefiet
Rotary Club Breda zet zich sinds meer dan 90 jaar in voor de Bredase gemeenschap. Dat doen we met onze ruim 55 leden door organisaties te steunen met onze inzet, maar ook door evenementen te organiseren waarmee we geld inzamelen zodat wellicht onmogelijke zaken mogelijk gemaakt worden. De evenementen waarbij we betrokken zijn hebben één ding gemeen: ze dragen bij aan het gemeenschapsgevoel tussen clubleden onderling én de Bredase samenleving.

Dit keer nodigen we jullie graag uit voor een swingende avond in MEZZ, Breda op 28 november met hele grote dank aan de artiesten die hier vrijblijvend aan bijdragen.

En dit alles voor het goede doel: de Straattandarts in Breda. Want niet alle zorg is vanzelfsprekend.

 

Jij komt toch ook?!

Koop nu je ticket

Programma

donderdag 28 november

19:30 – Deuren open + welkomstdrankje
20:00 – Welkom
20:15 – DJ Zwart Groef
20:45 – Voorprogramma: Tygo & gitarist
21:00 – Abel
21:30 – DJ Zwarte Groef
22:00 – The Young Stage Band
22:45 – pauze
23:00 – The Young Stage Band
01:00 – Einde

Rotary Club Breda

Over de bands

The music for a swining night… get your dancing shoes out!

The Young Stage Band

The Young Stage Band ontstond in 1987 en is van oorsprong een Big Band. In de loop van de jaren heeft The Young Stage Band een groot en divers repertoire opgebouwd, gebaseerd op de hits uit deze en de vorige eeuw met een groot meezinggehalte.

De afgelopen jaren heeft The Young Stage Band al op vele mooie evenementen en podia gestaan!

The Young Stage Band

Abel

Na 14 jaar stilte zijn ze terug met hun nieuwe album “Geen water bij de wijn”. Een album vol verhalen over de bijzondere alledaagse momenten in het leven, momenten die vastgelegd moeten worden voordat ze vervagen,

Abel

DJ Zwarte Groef

Zwarte Groef staat voor 100% puur Vinyl; opgezet dat past bij het moment. Rock-‘n-roll uit de jaren ’50. Flowerpower uit de jaren ’60. De rock en disco van de ’70. New Wave, punk en andere hits van de ’80. Grunge uit de jaren ’90 en het betere van nu.

Zwarte Groef

Straattandarts Amanda

Mijn naam is Amanda, straattandarts in Breda, en ik heb jullie hulp nodig!

Dankzij gemeente Breda kan ik gedurende zo’n 40 behandeldagen per jaar als straattandarts werken in het mooie Breda. Ik lever basale tandheelkundige zorg aan inwoners van gemeente Breda die geen toegang hebben tot de reguliere tandarts. Dit kan zijn wegens beperkte financiële middelen (letterlijk te arm om de tandarts te betalen) of op basis van complexe meervoudige problematiek (bijvoorbeeld verslaving- en psychische problematiek).

Om tanden en kiezen veilig uit de mond te verwijderen, heb ik een duur apparaat nodig. De zogeheten piezotoom. Veelal zijn de tanden en kiezen van mijn patiënten zover afgebroken dat ik eigenlijk geen ‘grip’ meer heb om de kies goed te kunnen verwijderen. Met een piezotoom heb ik de mogelijkheid om op een veilige manier een klein beetje kaakbot weg te halen om zo goed bij een tand of kies te kunnen. De meeste reguliere tandartsen trekken niet zo frequent (gelukkig maar) en zullen in dit geval verwijzen naar de kaakchirurg, maar aangezien ik bekwaam ben om deze kleine ingreep zelf uit te voeren, zou ik het liever zelf doen. Mijn patiënten komen namelijk vaak niet aan bij de kaakchirurg, want dan moeten ze het eigen risico van 385 euro betalen en dat hebben ze niet. Bovendien wil ik de kaakchirurgen niet onnodig belasten voor iets wat ik zelf ook veilig zou kunnen doen met de juiste apparatuur.

De aanschaf van een piezotoom kost echter zo’n € 7500!

Ik trek natuurlijk niet alleen maar wortelresten, maar ik vul ook gaatjes, reinig het gebit en soms doe ik een wortelkanaalbehandeling in een strategische tand of kies. Ik maak de mond dus pijn- en ontstekingsvrij met basismiddelen.

Voor mij voelt dit echter als nèt te weinig, want soms heb ik bijvoorbeeld voortanden moeten trekken. Je mond is dan feitelijk gezien wel gezond en ontstekingsvrij, maar ik heb dan niet het gevoel dat ik iemand écht heb geholpen. De patiënt loopt dan immers zonder voortanden mijn behandelkamer uit…

Wanneer we voldoende donaties hebben, dan kunnen we deze zorg wel verder uitbreiden, zodat we bijvoorbeeld ook een partieel plaatje (een ‘klein kunstgebitje’) of een volledig kunstgebit kunnen maken om de ontbrekende tanden en kiezen te vervangen. Deze zogeheten ‘uitneembare voorzieningen’ zijn echter erg kostbaar. Een klein kunstgebitje met 1 t/m 4 tanden of kiezen kost 238 euro en een klein kunstgebitje met 5 t/m 13 tanden of kiezen kost 334 euro. Vaak hebben patiënten zowel in de bovenkaak en onderkaak een plaatje nodig, dus dat komt neer op zo’n 476 – 688 euro per patiënt!

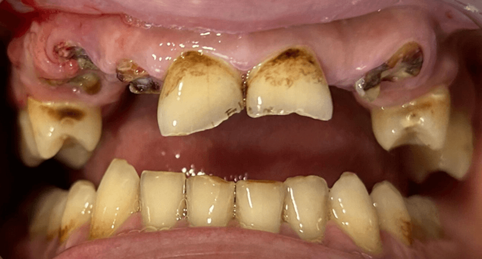
Hieronder een voorbeeld van een mond van één van mijn patiënten. Deze man is nog geen 30 jaar oud en was dakloos op het moment dat de behandelingen begonnen.

Mond patiënt

Inmiddels heeft hij huisvesting en is hij tandheelkundig afbehandeld!

Piezotoom

Sponsoren

Sponsoren Rotary